Give Us a Call
Get The Quality Dental Care That You Deserve Immediately
Who we are
The Dental Park
We are committed to providing our patients with compassionate and professional dental care of the highest standards in a comfortable and relaxed environment. We take great satisfaction in helping you maintain optimal oral health. Utilizing the most current dental technologies and techniques we will help you achieve a smile that you can be proud of.
- Preventive dental care.
- Excellent Paediatric dentistry.
- Advanced dental prosthetic technology.
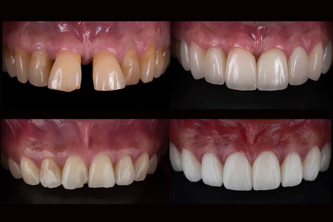
- Excellent cosmetic dentistry.
- Superior dental implants.
- Advanced Laser dentistry.
16 Years
of Dentist Experience